Desde la detección temprana de cáncer de mama hasta modelos de AI abiertos para desarrolladores de salud en todo el mundo, Google Research delinea su visión de una atención médica más personalizada, equitativa y predictiva.
Durante el evento anual The Check Up, Google Research presentó un resumen de sus avances más recientes en artificial intelligence (AI) aplicada a la salud, abarcando desde herramientas de diagnóstico clínico hasta modelos de uso libre para desarrolladores y aplicaciones de salud pública a escala global. El evento, presentado por Avinatan Hassidim, vicepresidente de Google Research, y Katherine Chou, VP vicepresidenta Producto de Google Research, marcó lo que la compañía describe como el inicio de una nueva era en la democratización de la investigación científica y clínica.
En el ámbito de la atención personalizada, Google presentó los resultados de un estudio realizado en colaboración con Fitbit en Estados Unidos, orientado a explorar el futuro de la medicina preventiva. El estudio evaluó un Agente de Salud Personal (PHA, en inglés) que funciona como un equipo colaborativo integrado por un científico de datos, un experto en salud y un coach, capaz de analizar datos provenientes de dispositivos portátiles para ofrecer orientación personalizada sobre sueño, actividad física y salud en general. Los resultados sugieren que este enfoque integral es más efectivo para el cuidado de la salud a largo plazo que las aplicaciones de función única que solo registran pasos o calorías.
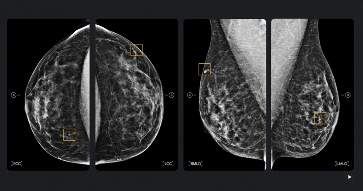
En materia de diagnóstico clínico, Google compartió los resultados de dos estudios realizados junto con el Imperial College London y el Servicio Nacional de Salud del Reino Unido (NHS, en inglés), publicados en Nature Cancer, que muestran cómo la AI puede mejorar la detección del cáncer de mama. El sistema de AI desarrollado identificó el 25% de los llamados “cánceres de intervalo”, casos que suelen evadir los tamizajes convencionales y se detectan solo cuando aparecen síntomas. En pruebas de integración con flujos de trabajo clínicos existentes, el sistema demostró potencial para reducir la carga de trabajo de los radiólogos sin comprometer la seguridad diagnóstica.
Otro avance destacado fue la expansión del modelo de detección de retinopatía diabética, una de las principales causas de ceguera prevenible cuando se detecta a tiempo. A través de alianzas con institutos de investigación médica y hospitales oftalmológicos en India, Tailandia y Australia, Google escaló su modelo de tamizaje para ofrecer más de un millón de evaluaciones, con diagnósticos que pueden emitirse en tan solo dos minutos.
En el campo de los sistemas de AI agéntica, Google presentó avances de AMIE, un sistema multiagente de investigación desarrollado junto con Google DeepMind, capaz de interpretar y razonar sobre historias clínicas, resultados de laboratorio e imágenes médicas complejas de forma simultánea. Actualmente se está probando en entornos de investigación clínica con el Beth Israel Deaconess Medical Center, con el objetivo de reducir la carga del registro de antecedentes en tiempo real previo a las consultas médicas. Paralelamente, Google anunció una alianza con Included Health para lanzar un estudio nacional de telehealth impulsado por AI con aprobación del comité de ética institucional (IRB).
En cuanto a herramientas para la comunidad desarrolladora, Google destacó su plataforma Health AI Developer Foundations (HAI-DEF), que ofrece modelos de código abierto y herramientas complementarias de libre acceso. El modelo MedGemma, incluido en esta iniciativa, permite la interpretación de texto e imágenes médicas, incluyendo imágenes 3D de alta dimensión y reconocimiento de voz especializado en medicina. Ya está siendo utilizado en el All India Institute of Medical Sciences para triaje ambulatorio y dermatología, y el Ministerio de Salud de Singapur lo está adaptando para atención primaria y especializada.
En salud pública, Google anunció el uso de Google Earth AI y sus modelos geoespaciales para identificar patrones complejos entre comportamientos poblacionales y factores ambientales. En colaboración con investigadores del Mount Sinai y el Boston Children’s Hospital de Harvard, estos datos permitieron generar estimaciones de cobertura de vacunación contra el sarampión a nivel de código postal, identificando grupos con bajas tasas de vacunación que coinciden con brotes recientes, información que puede orientar acciones preventivas más focalizadas.
Finalmente, en cuanto de la investigación biomédica, Google presentó DeepSomatic, una herramienta de análisis genómico diseñada para identificar mutaciones relacionadas con el cáncer con mayor precisión que los métodos anteriores, con potencial para mejorar el diagnóstico y el tratamiento oncológico.




