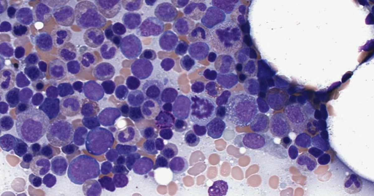
DeepHeme, clasifica células de médula ósea con una exactitud comparable a la de hematopatólogos humanos, abriendo paso a diagnósticos más rápidos y precisos.
Investigadores del Memorial Sloan Kettering Cancer Center (MSK), la Universidad de California en San Francisco (UCSF) y UC Berkeley han desarrollado una herramienta de artificial intelligence (AI) llamada DeepHeme que podría transformar el diagnóstico de cánceres sanguíneos y de médula ósea. El modelo, como detalla un estudio publicado en Science Translational Medicine, automatiza la clasificación de células con precisión comparable a la de especialistas humanos, y reduce el tiempo de análisis de más de 30 minutos a menos de un segundo.
La citomorfología de aspirados de médula ósea es una técnica crucial pero compleja y propensa a errores, especialmente en el diagnóstico de enfermedades hematológicas. Para abordar estas limitaciones, los científicos entrenaron a DeepHeme con 49,977 imágenes celulares clasificadas en 23 tipos morfológicos por un panel de expertos. El conjunto de entrenamiento incluyó 30,394 imágenes de 40 pacientes, y la validación interna utilizó otras 8,507 imágenes de 10 pacientes distintos.
El modelo utiliza una técnica llamada snapshot ensemble, que permite combinar varias redes neuronales entrenadas durante distintas fases del aprendizaje. Esto no sólo mejora el rendimiento general sino que también mantiene bajo el costo computacional. DeepHeme alcanzó un F1 score promedio de 0.92, superando a modelos anteriores (0.78 y 0.67), y mostró un desempeño alto, en precisión y sensibilidad superior a 0.8 en 21 de las 23 clases celulares evaluadas.
Para validar su robustez, se aplicó el modelo a un conjunto de datos externo del MSK, que incluyó 13,770 imágenes adicionales. A pesar de las diferencias en pacientes, protocols de tinción y escáneres utilizados, DeepHeme mantuvo un alto rendimiento: F1 score de 0.89 en médula normal y 0.84 en muestras mixtas, normales y con enfermedades hematológica
En una evaluación ciega frente a tres hematopatólogos de centros oncológicos reconocidos, DeepHeme igualó o superó su rendimiento con una precisión y sensibilidad promedio de 0.91, frente al 0.78 y 0.76 de los expertos humanos, respectivamente. Además, mientras los patólogos necesitaron unas tres horas para clasificar 575 imágenes, DeepHeme lo hizo en menos de un segundo.
DeepHeme también fue capaz de identificar patrones de desarrollo celular que reflejan el árbol hematopoyético humano, lo que sugiere que podría usarse no solo para clasificar células sino también para descubrir nuevos biomarcadores relacionados con la progresión de enfermedades o la respuesta al tratamiento.
Según el Dr. Gregory Goldgof, director de AI y Hematopatología Computacional en MSK, “DeepHeme puede analizar tanto sangre como muestras de médula ósea y podría apoyar futuros esfuerzos para mejorar la medicina personalizada”.
“Hay 500 millones de muestras de sangre recolectadas cada año en Estados Unidos. Nunca podríamos analizarlas todas con humanos, pero sí con AI. Esto podría abrir la puerta a muchas aplicaciones importantes en el futuro”, agregó Goldgof. La herramienta también forma parte de un esfuerzo mayor por digitalizar completamente la hematopatología clínica, facilitando la colaboración médica y la investigación a gran escala.
Por su parte, el Dr. Ahmet Dogan, responsable del Departamento de Hematopatología del MSK, explicó que los escaneos de alta resolución de cada diapositiva, serán utilizados para aprender más sobre los cánceres de la sangre en general. A pesar de los prometedores resultados el Dr. Dogan reconoce que la AI no será nunca un reemplazo para el análisis realizado por los médicos: “El diagnóstico del cáncer es una decisión médica que debe tomar un humano. Se necesitan médicos y otros investigadores para mejorar continuamente los algoritmos y adaptarlos a nuevas cuestiones clínicas”.




